WhatsApp

Cas Cliniques

Découvrez certains des cas cliniques réalisés par le réseau de médecins dentistes avec lequel nous collaborons au Luxembourg.

Implants dentaires

L’implantologie est un domaine chirurgical de la dentisterie qui se consacre à la pose d’implants dentaires.

Dents Fixes en 1 Jour

Dents Fixes en 1 Jour

Facettes dentaires

Des facettes dentaires fines et sur mesure qui sont appliquées sur la partie visible des dents dans le but d’améliorer l’esthétique du sourire.

Orthodontie

L’orthodontie est une spécialité dentaire qui étudie, prévient et corrige les altérations du développement, des formes des arcades dentaires et de la position des mâchoires.

Blanchiment Dentaire

L’orthodontie est une spécialité dentaire qui étudie, prévient et corrige les altérations du développement, des formes des arcades dentaires et de la position des mâchoires.

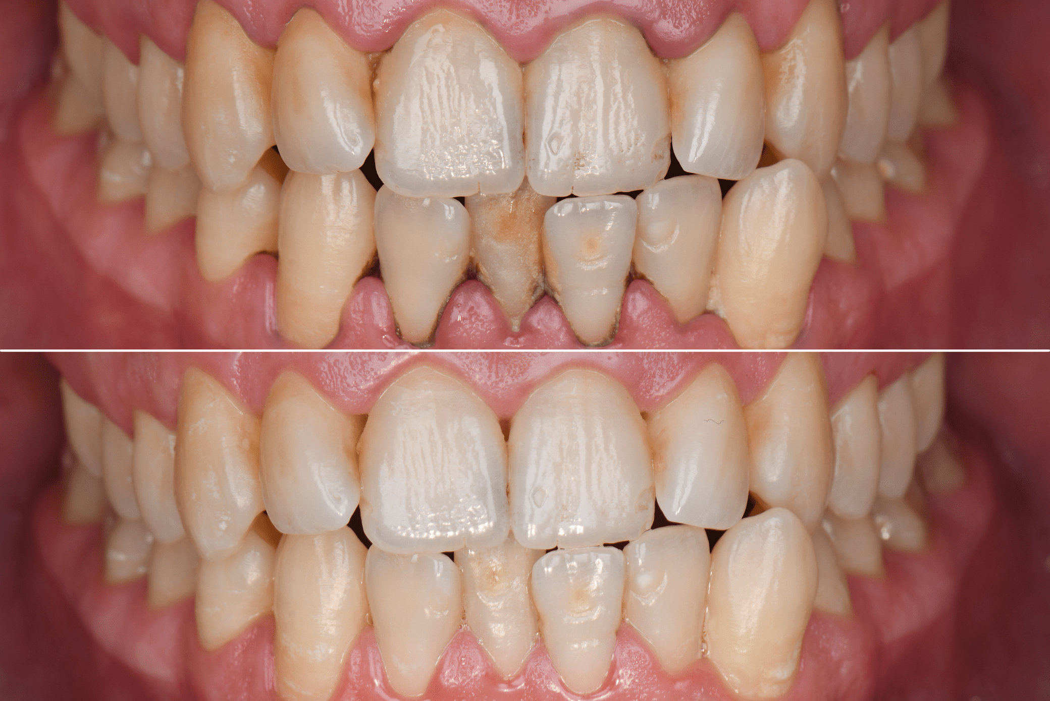
Parodontologie

Si vous avez déjà ressenti une gêne dans votre bouche, comme une sensation douloureuse au niveau des gencives accompagnée d’un gonflement, il s’agit probablement d’un problème parodontal.

Hygiène orale

Prévenir les problèmes tels que la plaque bactérienne, le tartre, les caries dentaires ainsi que les maladies parodontales.

Prothèses dentaires fixes et amovibles

Afin de rétablir les fonctions masticatoires, esthétiques et phonétiques et de minimiser ces effets, on fabrique des prothèses dites dentaires.

Traumatismes dentaires

Les chutes, les activités sportives, les accidents de la route et la violence physique sont quelques-unes des causes de ce type de traumatisme, et la prévention est toujours la meilleure option.