Periodontal Plastic Surgery
Many people feel that the appearance of their upper teeth is too much covered by excess gum tissue. When you smile, you have the feeling that your upper teeth look too short compared to the amount of gum tissue that appears. In this case, you may have a condition commonly referred to as “gummy smile” or excessive gingival exposure.
A gummy smile can have a negative effect on the aesthetics of your smile. The good news is that this same gummy smile can be corrected through various treatment options.
Since the causes can be different, the diagnosis can and should be made together by a maxillofacial specialist, a dentist and a plastic surgeon. This is the best way to approach a diagnosis by looking at all the causes and possible changes to be made. There are several factors that can favour gum disharmony and a worsening of oral health, so it is important to keep an eye out for the following symptoms:
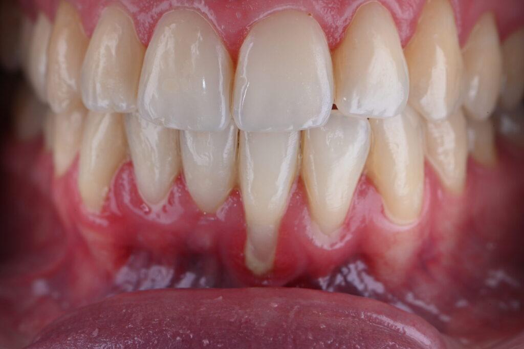
- Change in colour of the gums or inflammation of the gums;
- Bacterial plaque (tartar)
- Bleeding gums;
- Oral pathologies;
- Bone positioning (genetic cases that need clinical evaluation);
The above-mentioned factors can lead to an exaggerated increase in the gum tissue on the teeth and also it’s retraction, losing part of the tissue. The professional evaluation will verify if there is any aesthetic deformity that needs to be corrected through periodontal plastic surgery.

Periodontal Plastic Surgery is a surgical procedure whose main objective is to correct defects in the gums that bother you aesthetically and that take away your genuine desire to smile on a daily basis.
After the surgery, the harmonization of the smile has a significant improvement. However, the performance of Periodontal Plastic Surgery is conditioned to the individual’s good oral health. Due to this, any oral and dental problem must be treated before this procedure.
In general, the main complaints that lead people to seek Periodontal Plastic Surgery are the recession of the gums or its excess (known as gummy smile), whether they are natural or consequences of mechanical trauma or sequelae of some previous treatment.
In cases where there is gum recession, a graft is made on the individual’s gums. In cases where the problem is a gummy smile, the desired results are achieved through subtractive techniques.
Just like the teeth, the gums are extremely important for the harmony of dental aesthetics. A healthy gum should have a rosy appearance, without any redness, swelling, recession or even exaggerated growth on the teeth. When there is the existence of any of these aspects, it is necessary to seek a professional for an evaluation.
What is periodontal plastic surgery?
Periodontal surgery, also known as gingivoplasty, is a procedure for the correction of gum defects. Performing the procedure guarantees you a more harmonious and natural smile, as well as great aesthetic results.
The procedure acts in two ways to improve the gingival aesthetics, by removing excess tissue and recovering it:
Gingival enlargement: disordered growth of the gums on the teeth, known as gingival hyperplasia. Periodontal surgery acts in the removal with the aim of correcting and increasing the exposure of the teeth.
Gum recession: shrinkage and loss of gum tissue. The periodontal surgery acts in the filling of the areas that need recovery.
Periodontal plastic surgery is recommended for people who have a smile with a lot of gum exposure or who have a gap between the gums and teeth.
Periodontal plastic surgery/ Soft tissue grafting
Periodontal plastic surgery (gum grafts) aims to restore the mouth area that has lost tissue. The procedure is done by removing portions of gum tissue from healthy areas and placing them in places where they are missing. The procedure is indicated for people who have lost gum tissue, either through trauma or retraction, which can occur due to genetic conditions or oral diseases.

How is this surgery performed?
Although it is a simple surgery, it is advisable that pre-operative planning be carried out, since it is an irreversible procedure, and when not carried out correctly, it can cause various aesthetic discomforts. It is recommended that professionals perform a virtual simulation, enabling you to visualize the final result.