Branqueamento Dentário
O branqueamento dentário é um tratamento que só pode ser realizado por profissionais de saúde oral. Esta restrição é justificada pelos riscos associados à natureza dos produtos utilizados no branqueamento.
Este tratamento dentário envolve um exame clínico prévio, a aplicação de medidas preventivas e operativas na utilização dos produtos de branqueamento para cada pessoa, de forma a evitar complicações orais e garantir um resultado mais eficaz.
As orientações e aplicações indicadas pelo profissional evitam tempos excessivos ou exposição desnecessária aos produtos de branqueamento durante o tratamento. Isto assegura que não existam fatores de risco ou outras doenças orais que tornem este tratamento desaconselhável.
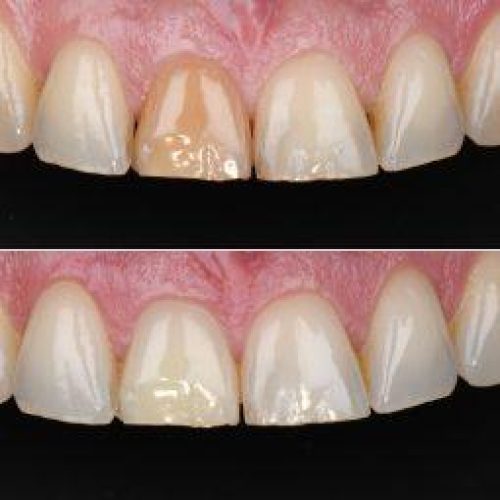
Casos Clínicos








O que significa branquear os dentes?
O branqueamento dentário é um tratamento estético que visa remover manchas dos dentes e torná-los mais brancos. A popularidade da medicina dentária estética tornou este um dos procedimentos dentários mais procurados nos últimos anos.
É especialmente importante que os profissionais sejam formados na utilização de agentes de branqueamento, seguindo um protocolo adequado para o diagnóstico, planeamento do procedimento e manutenção dos resultados.
Por isso, é fundamental que o profissional tenha um conhecimento aprofundado tanto das indicações como das contraindicações das técnicas de branqueamento dentário, de forma a poder transmiti-las corretamente.
Por outro lado, a população deve encarar este tratamento como um procedimento de saúde, que deve ser sempre realizado sob a supervisão de um profissional da área.
Causas do escurecimento dentário
A higiene oral inadequada e o consumo de certos produtos podem causar alterações na coloração dentária. Existem diferentes tipos de manchas dentárias que podem ser classificadas como manchas intrínsecas ou endógenas e manchas extrínsecas ou exógenas.
As manchas intrínsecas ou endógenas incluem aquelas que afetam os dentes durante a fase de formação, antes da sua erupção na cavidade oral. São causadas, por exemplo, pelo consumo de determinados medicamentos (como as tetraciclinas), por alterações no desenvolvimento da estrutura dentária (como a hipoplasia do esmalte), por deficiências vitamínicas ou por fluorose.
Também são classificadas neste grupo as manchas que aparecem após a erupção dentária, produzida por trauma, fraturas ou escurecimento natural do dente, o que é normal ao longo dos anos.
Manchas extrínsecas ou exógenas são produzidas pelo contato dos dentes com agentes pigmentantes, presentes em certos alimentos, como bebidas vinho, chá e café, e outros produtos como o tabaco. Estas manchas também podem surgir após o uso prolongado de certos colutórios e pastas dentífricas à base de clorohexidina.
Tipos de branqueamento dentário
A classificação do branqueamento dentário depende do dente ao qual o procedimento é aplicado.
Branqueamento dentário dos dentes vitais
Este tipo de branqueamento pode ser de dois tipos diferentes:
Branqueamento dentário realizado no consultório dentário.
É realizado pelo profissional, com a pessoa na cadeira, que aplica um agente branqueador à base de peróxido de hidrogénio a 35%, que pode ser ativado por uma fonte de luz.
É necessário realizar uma profilaxia adequada previamente e verificar que a cavidade oral está saudável. Após esta etapa, a área a tratar é isolada para evitar o contacto entre o agente branqueador e os tecidos periodontais, ou seja, os tecidos que suportam o dente, como as gengivas, e depois é aplicado o agente branqueador.
É essencial seguir as instruções do fabricante do sistema de branqueamento para obter resultados satisfatórios.
Este é um método muito eficaz, pois uma alta concentração do agente branqueador é aplicada sob controlo do profissional.
Branqueamento dentário em casa, sob supervisão profissional.
Neste tipo de branqueamento, a concentração de peróxido de carbamida é de 10%.
Este método é realizado em casa, sob as instruções do profissional. Tal como no branqueamento anterior, é necessário realizar profilaxia oral e uma avaliação antes do tratamento.
São confeccionadas duas moldeiras personalizadas, nas quais será aplicado o agente branqueador. Como são adaptadas aos dentes de cada indivíduo, as peças vão encaixar perfeitamente na boca. Desta forma, evita-se qualquer contacto possível com os tecidos periodontais.
Branqueamento dentário em dentes não vitais
A razão do escurecimento dos dentes não vitais deve-se geralmente à presença de restos de tecido pulpar necrótico ou aos materiais de obturação utilizados no interior das cavidades.
Este tipo de branqueamento é realizado com a pessoa na cadeira, pelo profissional, e consiste na remoção de todo o tecido necrótico na câmara pulpar dos dentes com tratamento endodôntico devitalizado, seguida da aplicação direta do agente branqueador nessa câmara.
Existem dois métodos para o branqueamento de dentes não vitais:
Técnica imediata: Consiste em ativar a mistura de perborato de sódio e 35% de água oxigenada utilizando um instrumento quente. O resultado obtido pode ser visto instantaneamente.
Técnica ambulatória: A mistura feita de perborato de sódio e peróxido de hidrogénio a 35% é aplicada, colocada na cavidade em forma de pasta, e é colocado um preenchimento temporário na superfície. Este é um processo mais demorado.
Também pode ser realizada uma combinação de ambas as técnicas.
Riscos de branqueamento dentário
Para além de sabermos o que é o branqueamento dentário, devemos também estar cientes de que este tratamento não está isento de riscos. O branqueamento dentário é um tratamento que, apesar de geralmente obter resultados satisfatórios, implica vários riscos.
O profissional tem a obrigação de informar os riscos para que possam ser tidos em conta antes do procedimento de branqueamento dentário.
Entre os possíveis riscos do branqueamento dentário estão a reabsorção cervical, a sensibilidade gengival e a sensibilidade dentária pós-operatória.
Para reduzir potencialmente os efeitos adversos, é necessário cumprir as medidas de segurança biológica adequadas, utilizando as concentrações apropriadas para cada técnica e respeitando os tempos de exposição recomendados.